Aşı olmayı reddeden gebeler yoğun bakımda yatıyor
"Bebeğime bir şey olacak" korkusu yaşayan anne adaylarının aşıdan kaçtığına dikkat çeken Göğüs Hastalıkları Uzmanı Prof.
"Bebeğime bir şey olacak" korkusu yaşayan anne adaylarının aşıdan kaçtığına dikkat çeken Göğüs Hastalıkları Uzmanı Prof. Dr. Şevket Özkaya, gebelerin ürkütücü akciğer filmlerini gözler önüne serdi.
Samsun'da vaka artışı devam ederken hastanelerin yoğun bakım servislerinde gebeler yatmaya başladı. Aşı olmayı reddeden anne adayları yoğun bakımlarda yaşam mücadelesi veriyor. Binlerce kişinin hayata tutunmasını sağlayan Göğüs Hastalıkları Uzmanı Prof. Dr. Şevket Özkaya, gebelerin akciğer filmlerinde yoğun tahribatı anlattı. Prof. Dr. Özkaya, "Özellikle aşı karşıtlarına ve akıllarında kovid aşısı ile ilgili soru işareti olan vatandaşlarımızdan yardım istiyoruz. Ne siz ne de sevdikleriniz hastalansın ne de bizim iş yükümüz artsın istiyoruz. Özellikle son zamanlar virüsle beraber gerçekten insana verebilecek en büyük hasarı, en büyük zararı nasıl verebileceğini öğrenmeye başladı. Özellikle aşı olmayanlar arasında gebeler bu durumdan çok etkilenmeye başladı. Son derece ölümcül olan bu virüs artık gebeleri ve doğum yapmış kişileri çok etkiliyor. Şu an hastanemiz, servimiz ve diğer hastaneler gebelerle ve doğum yapmış ciddi kovid hastalarıyla dolu maalesef" dedi.
"Herkes bebeğini düşündüğü için aşı olmuyor"
Aşının emniyet kemeri gibi olduğunu belirten, "Artık aşı karşıtlığı bireysel bir karardan çıktı, toplumsal bir harekete döndü. Biz de şunu söylüyoruz: Kimse aşı olmaya zorlanamaz ama bu hastalığı yaşayan, bu hastalığı yakınları geçirmiş olan kişilerin ile bu hastalığı tedavi eden doktorların aşı karşıtların akıllarındaki soru işaretlerini çözmelerini istiyoruz. Herkesin elini taşın altına sokmasını istiyoruz. Özellikle doğum yapmış kişiler aşı olmaktan kaçınıyor ve ciddi solunum sıkıntıları ile yaşıyorlar. Herkes bebeğini düşündüğü için aşı olmuyor. Kendinizi düşünün, bebeğinizi düşünün ve lütfen aşı olun. Aşı emniyet kemeri gibidir. Maske, mesafe, temizlik kuralı kaza yapmanızı önler ama aşı olursanız kaza yaptığınız hayatta kalmanızı sağlayacak" diye konuştu.
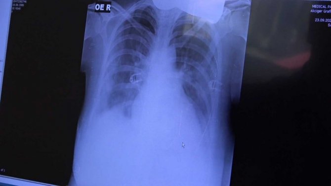
35 yaşında gebe bir hastanın akciğer filmindeki yoğun tahribatı gözler önüne seren Prof. Dr. Şevket Özkaya, "Bir hafta önce kovid semptomlar ile geldiğinde gerçekten akciğerleri çok kötüydü. 1 hafta içinde yaygın ARD vurgusu gelişti ve artık solunum yetmezliğinde bu hasta. Bunu hayatta tutmaya çalışıyoruz. Birkaç günümüz daha var. Tedavi ile düzelteceğiz. Lütfen gebelerimizin aşı olması gerekiyor. Özellikle kadın doğumcularımızın gebeleri aşılamaya yönlendirmelerini istiyoruz. Yoksa 35 yaşındaki bu hastamızın filmi gerçekten ürkütücü ve korkutucudur" şeklinde konuştu.
39 yaşında yeni doğum yapmış ve hamilelik sürecinde kovide yakalanmış bir hastanın akciğer filmini inceleyen Özkaya, "Birkaç günlük bebeğini bırakarak yoğun bakımda yatan bir anne. Bu anne de bebeğini düşünerek aşısını olmaktan korkmuş ama şu an yoğun bakımda yaşama mücadelesi veriyor" açıklamasında bulundu.
"Grip ile kovid farkı"
Bazı şikayetlerin mevsimsel geçiş olduğuna dikkat çeken, "Yasakların kalkması ve okulların açılmasıyla insanların birlikte toplu yaşamaya başladı. Çocuklarda öksürük, ateş gibi semptomlar ortaya çıkıyor. Veliler doğal olarak bunu kovidle birleştirerek panik yapıyorlar. Özellikle mevsimler geçişlerin bu şikayetleri yapacağını biliyoruz. Normal grip gibi kabul ediyoruz. Biz 3-4 gün semptomatik tedavi sonrası eğer şikayetlerde bir geçme olmazsa o zaman kovid değerlendirmesi yapmanızı istiyoruz. Yoksa geçirdiğiniz hafif öksürük, ateş ve grip benzeri semptomlar kovid demek değildir. Her grip kovid değildir. Ama bu durum çocuklarımızın hastalığında göz ardı edilmemesi gereken noktalardan biridir" ifadelerini kullandı.




Türkçe karakter kullanılmayan ve büyük harflerle yazılmış yorumlar onaylanmamaktadır.