Egeli hekimler, Hamza Bebeğe nefes oldu
Göğüs kafesi darlığı (Jeune Sendromu) nedeniyle solunum yapamayan Hamza Bebek Ege Üniversitesi’nde yapılan başarılı bir ameliyatla nefes almaya başladı. Bir çocuğunu da aynı hastalıktan kaybeden anne...
Göğüs kafesi darlığı (Jeune Sendromu) nedeniyle solunum yapamayan Hamza Bebek Ege Üniversitesi’nde yapılan başarılı bir ameliyatla nefes almaya başladı. Bir çocuğunu da aynı hastalıktan kaybeden anne Behlül Karaca, "Onun anne demesi bile yeterli" dedi.
Ege Üniversitesi Tıp Fakültesi Çocuk Cerrahisi kliniğinde Jeune Sendromu ameliyatı başarılı şekilde yapılıyor. Egeli hekimlerin bu başarısı ülkemizdeki diğer çocuk yoğun bakım ünitelerinde yatan Jeune Sendromlu çocuk ve ailelere umut oldu.
Ege Üniversitesi Tıp Fakültesi Çocuk Cerrahisi Kliniği’ne 2015 yılında altı aylıkken “Jeune Sendromu” tanısı ile gelen ve başarılı bir operasyon geçiren Hamza Karaca’nın kontrollerinden biri hastanın ailesi ile birlikte gerçekleştirildi. Gelişimi sağlıklı bir şekilde devam eden Hamza bebeğin kontrolü, Ege Üniversitesi Tıp Fakültesi Çocuk Cerrahisi Anabilim Dalı Başkanı Prof. Dr. Ata Erdener ve Uzm. Dr. Emre Divarcı tarafından yapıldı.
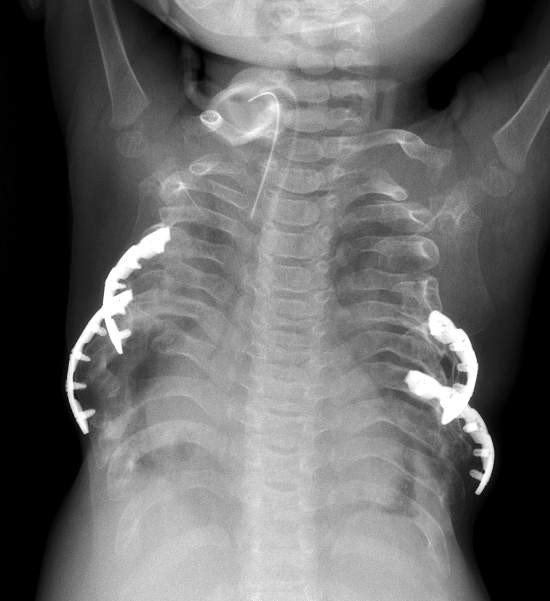
Uz. Dr. Emre Divarcı, “Jeune Sendromu (asfiktik torasik distrofi) göğüs kafesinin ciddi darlığı ile giden doğumsal bir hastalıktır. Göğüs kafesi darlığı nedeni ile akciğerler genişleyememekte ve soluk almakta ciddi sıkıntı yaratmaktadır. Solunum cihazında yüksek basınçlar gerektirmekte ve yoğun bakımdan evine gönderilememektedir. Hastaların yüzde 90’ı ilk 1 yaş içinde ciddi solunum yetmezliği nedeniyle kaybedilmektedir. Bizim hastamız da bu şikayetlerle kliniğimize yönlendirildi. Daha önce tek kardeşi yine bu hastalık nedeniyle üç aylıkken kaybedilmişti. Hastaya iki seansta her iki tarafına olmak üzere göğüs kafesini genişleten cerrahi operasyon (lateral torasik ekspansiyon) uygulandı. Operasyonda göğüs kafesinde darlığa neden olan kaburgaların altı tanesi uygun açılarda kesilip genişleme elde edilecek şekilde titanyum plaklar ile tespitlendi. Bu operasyon ülkemizde sayılı merkezlerde yapılabildiği için çoğu hasta bebeklik döneminde kaybedilmektedir. Bizim hastamızda da birer ay arayla yapılan iki operasyon sonucu solunum basınçları düşürülerek öncelikle yoğun bakımdan eve taburcu olması sağlanmıştır. Ameliyattan sonra geçen 3 yıl içinde solunum makinesi desteği giderek azalmış sadece geceleri önlem amaçlı solunum makinesi desteği gerekli kalmıştır. Yürümeye ve konuşmaya başlayan hastanın gelişimi devam etmektedir” dedi.
“Onun anne demesi bile yeterli”
Jeune sendromu’nun her 70-150 bin canlı doğumda bir görüldüğünü ifade eden Uz. Dr. Emre Divarcı, “Ülkemizde her yıl yaklaşık 10- 15 Jeune Sendromlu çocuk doğmaktadır. Ege Üniversitesi Tıp Fakültesi Çocuk Cerrahisi Kliniği’nde bu ameliyatın başarı ile yapılması ülkemizdeki diğer çocuk yoğun bakım ünitelerinde yatan Jeune sendromlu çocuk ve ailelere umut oldu. Bu yaptığımız ameliyat 2016 yılı Avrupa Çocuk Cerrahisi Kongresi’nde "En İyi İkinci Olgu Sunumu Ödülü" kazanmaya hak kazandı” dedi.
Jeune Sendromu hastası olan Hamza Karaca’nın annesi Behlül Karaca, ameliyat öncesinin çok zor olduğunu ama ameliyat sonrasında her şeyin daha da kolaylaşmaya başladığını söyledi. Çocuklarının yürümeye ve konuşmaya başladığını ifade eden Behlül Karaca, “Onun anne demesi bile yeterli. İnşallah ileride daha da iyi olacak ve iyileşecek” diye konuştu.






Türkçe karakter kullanılmayan ve büyük harflerle yazılmış yorumlar onaylanmamaktadır.