Korona virüs, genç nüfusa kayıyor
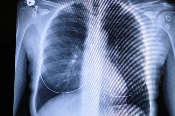
Aşının önemine dikkat çeken Göğüs Hastalıkları Uzmanı Prof. Dr. Şevket Özkaya, biri korona aşısı olmuş, diğeri ise olmamış evli çiftin akciğerleri...
Aşının önemine dikkat çeken Göğüs Hastalıkları Uzmanı Prof. Dr. Şevket Özkaya, biri korona aşısı olmuş, diğeri ise olmamış evli çiftin akciğerleri arasındaki inanılmaz farkı gözler önüne serdi. Prof. Dr. Özkaya, "Aşıdan dolayı yaşlılarda hastalık görülme oranı azaldı ve hastalık genç nüfusa kaydı" dedi.
Sağlık Bakanlığı tarafından paylaşılan korona virüs risk haritasında Samsun 4 haftadır vaka birincisi. 13-19 Mart tarihleri arasında Türkiye'de 100 binde 508,97 vaka ile Türkiye birincisi olan Samsun'da vaka sayıları hızla tırmanmaya devam ediyor. Bugüne kadar 10 bine yakın korona virüs hastasını tedavi eden VM Medical Park Samsun Hastanesinde görevli Prof. Dr. Şevket Özkaya, vaka sayısında zirvede olan Samsun için önemli açıklamalarda bulundu.
"Hastalık genç nüfusa kaydı"
265 binin üzerinde bir aşılama sayısına sahip Samsun için vaka profilinin değiştiğini söyleyen Prof. Dr. Özkaya, genç hastaların artık daha fazla tedaviye geldiğinin altını çizdi. Artık 65 yaş üstü ağır hastalarının oldukça azaldığını belirten Prof. Dr. Özkaya, "Devletimizin uyguladığı aşı politikaları sayesinde yaşlıları aşılanmaya başladığı için onlarda ciddi anlamda hastalık görülme oranı azaldı ve hastalık genç nüfusa kaydı. Bundan sonra 60 yaş altındakileri de aşılamak gerekiyor. Hasta kriterimizi değiştiren tek durum aşı oldu" diye konuştu.
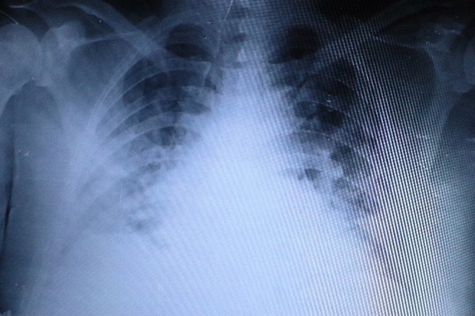
"Aşı olan ile olmayan evli çiftin akciğerlerindeki inanılmaz fark"
Bir evli çiftin akciğer filmlerini inceleyen Özkaya, "Size bir evli çiftin akciğer filmlerini göstermek istiyorum. İkisi de 50 yaşında. Çiftlerden biri sağlıkçı olduğu için aşılandı, diğeri ise aşı olmadı. Bu kadın hastamız kendisi sağlıkçı olduğu için Covid-19 pozitif olmasına rağmen akciğerlerinde hiçbir lezyon yok. Yine aynı yaştaki eşi aşı yapılmadığı için akciğerlerinde Covid-19 lezyonlarıyla uğraşıyoruz. İkisi de şu an korona servisinde yatıyor. Aşı olmayanın akciğerleri çok ciddi anlamda harap olmuşken aşı olan bir hastamızın testi pozitif olmasına rağmen akciğerleri tertemiz. Aile içi bulaş oldukça fazla. Özellikle bugün gelen ailenin akciğerlerine bakacak olursak, annenin ve babanın akciğerleri hafif tutulum sergilerken, 29 yaşındaki oğullarının akciğerlerinde aşırı bir tutulum var. Hasta profilleri biraz genç tarafa doğru kayıyor" şeklinde konuştu.
"Yasaklar kalkınca özellikle iç kesimdeki insanların sahile gelmesi nedeniyle inanılmaz derecede hasta yoğunluğu ile karşılaştık"
Vaka artışının fazla olmasının çeşitli nedenleri olduğunu ifade eden Prof. Dr. Özkaya, "Samsun maalesef vaka konusunda bir numara. Bunun çeşitli sebepleri var. Bizim şansızlığımız, mutant virüsün görülmesidir. Samsun İç Anadolu'yu Karadeniz'e bağlayan bir geçiş noktasıdır. İnanılmaz yüksek sayıda kişilerin gelip geçtiği potansiyel olan bir kavşak noktasıdır. Samsun aynı zamanda bir sağlık kenti. Önemli bir sağlık üssü olmasından dolayı çok fazla hasta ve yakını geliyor. Hafta sonları yasaklar kalkınca özellikle iç kesimdeki insanların sahile gelmesi nedeniyle inanılmaz derecede hasta yoğunluğu ile karşılaştık" şeklinde konuştu.






Türkçe karakter kullanılmayan ve büyük harflerle yazılmış yorumlar onaylanmamaktadır.