Koronaya yakalanan 15 yaş altı çocuklarda ciddi akciğer tutulumları
Korona virüsün mutasyona uğramış hali artık aşısız çocuklara ciddi zararlar vermeye başladığına dikkat çeken Göğüs Hastalıkları Uzm.
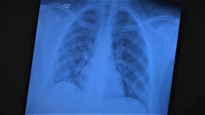
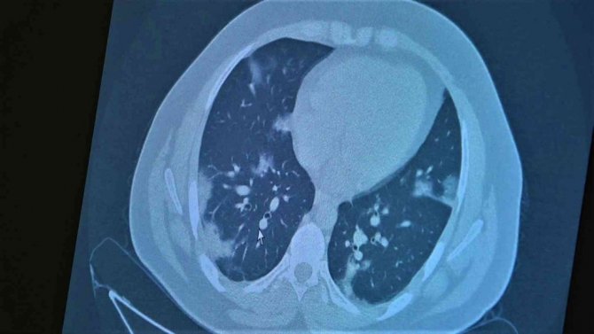
Korona virüsün mutasyona uğramış hali artık aşısız çocuklara ciddi zararlar vermeye başladığına dikkat çeken Göğüs Hastalıkları Uzm. Prof. Dr. Özkaya, 11 ve 14 yaşlarındaki koronaya yakalanmış ve ciddi akciğer tutulumlarıyla tedavi gören çocukların akciğer tomografilerini gözler önüne serdi.
Düşünen bir organizma gibi
Aşısız gençler korona virüsten ciddi şekilde etkilenmeye başladı. Geçen senelerde yaşlı insanlar daha fazla zarar veren korona virüs artık yeni mutasyonlarıyla aşısız çocuk ve gençlere verebileceği en yüksek zararı vermeye başladı. Neredeyse 14 binin üzerinde korona hastasını tedavi eden Prof. Dr. Özkaya, önemli açıklamalarda bulundu. Virüsün "düşünen bir organizma" gibi hareket ettiğini söyleyen Özkaya, "Önceden geçen yıllarda çocuklarda bu hastalığın görülmediğini gönül rahatlığıyla söylüyorduk. Çocukların bu hastalıkta şanslı olduğunu söylüyorduk. Şu an gerçekten 10 yaş üstünde sadece enfekte olmakla kalmayarak ciddi akciğer tutulumlarıyla gelen çocuklarımız var. Artık bu hastalık çocukların ve gençlerin hastalığı olarak biliniyor. Virüs gerçekten akıllı bir organizma gibi çalışıyor. Her mutasyonda insanoğluna verebileceği zararın bir tık daha fazlasını veriyor. Geçen yıllarda çocuklarda gebelerde görülmeyen dediğimiz ciddi akciğer tutulumları yeni dönemde görülmeye başladı. Vaka sayıları bu şekilde artmaya devam ederse çocuklarda ciddi akciğer tutulumları görülmeye devam ederse okulların açık kalması zor gibi görünüyor. Çocuklardan kaybımız yok. Ölen çocuklarımız yok ama geçen yıl enfekte olmayan çocuklarımız bu sene enfekte olmaya başladı. Yılbaşından sonra bu hastalıktan dolayı çocuklarımızı kaybetmeye başlarsak eğitime ara verilebilir. Okulların kapanmasıyla düşünün anne veya babadan biri evde kalmak zorunda. İş hayatı etkilenecek. Bunun için yapılması gereken tek şey aşıdır. 12 yaş üstü çocuklarımızın mutlaka aşılanması gerekiyor" dedi.
"Çocuklarımızı kaybetmeye bile başlayabiliriz"
Çocukların akciğer tomografilerini inceleyen Özkaya, "11 yaşında kovid pozitif bir öğrencimiz, yüksek ateş ve nefes darlığı ile bize geldi. Ciddi akciğer tutulumu var. Geçen yıl "bu çocuklar hastalıktan etkilenmiyor" diyorduk. Bu çocukta görüyorsunuz buzlu camlar ve konsolidasyon alanlarla seyrediyor. Geçen yıl bu şekilde çok çocuk görmüyorduk. Önümüzdeki aylarda bu şekilde devam ederse çocuklarımızı kaybetmeye bile başlayabiliriz. 14 yaşında pozitif olan bir diğer çocuğumuz ise aşı randevusu almış ama aşısını olmadan ateş ve öksürükle başvurdu. Halen şanslıyız. Çocuklar çok hızlı tedaviye yanıt veriyor. Düzeldi. Çekilen tomografisinde ise bilaterel yaygın tutulumları vardı. Bu ise 24 yaşında genç hastanın akciğer tomografisi. Bu kişide yaygın akciğer tutulumları görüldü. Bunu da tedavi ettik. Önümüzdeki aylarda ne getirecek ne götürecek beraber göreceğiz. Özellikle havaların soğumasıyla kapalı ortamlarda geçilen zamanın ve kalabalıkların etkisiyle vaka sayılarının önümüzdeki günlerde artacağını biliyoruz. Şu an gerçekten hastalık gençlerde 30 -40 yaş altı gençlerde görülmeye başladı. Poliklinik şartlarında olanların büyük bir kısmı 30 yaş altı hastalar. Servislerde yatanlarda orta yaş ve altı nüfus. Yoğun bakımda yatanların büyük bir kısmı ise aşısız erişkin insanlardan oluşuyor" diye konuştu.





Türkçe karakter kullanılmayan ve büyük harflerle yazılmış yorumlar onaylanmamaktadır.