Prof. Dr. Özkaya: "Ya yasaklarla yaşayacağız ya da aşı olacağız"
Binlerce korona virüs hastasının hayata tutunmasını sağlayan Göğüs Hastalıkları Uzmanı Prof.
Binlerce korona virüs hastasının hayata tutunmasını sağlayan Göğüs Hastalıkları Uzmanı Prof. Dr. Şevket Özkaya, ölümden kıl payı dönen bir doktorun akciğerlerindeki inanılmaz değişimi göstererek "aşı" vurgusu yaptı. Özkaya, "Herkesin mümkün olduğunca aşılanması gerektiğini düşünüyoruz. Ya yasaklarla yaşayacağız ya da aşı olacağız" dedi.
Birçok kişinin hayatını kaybetmesine neden olan Kovid-19 salgınıyla mücadele uzun süredir devam ediyor. Alınan tedbirler ve kısıtlamalarla birlikte vaka sayıları düşse de her gün yeni korona virüs vakaları ortaya çıkıyor. Bu durumda salgının önlenmesi için aşının önemi daha da arttı. Geçen günlerde Çin'den Türkiye'ye getirilen Kovid-19 aşıları kademeli olarak yapılmaya başlanacak.
VM Medical Park Samsun Hastanesi'nde görev yapan Göğüs Hastalıkları Uzmanı Prof. Şevket Özkaya ise "Ya aşı ya da yasak" diyerek açıklamalarda bulundu. Gelen aşının piyasadaki güvenilir ve en az yan etkisi olan aşılardan biri olduğunu ifade eden Prof. Özkaya, "Sağlık Bakanı Sayın Dr. Fahrettin Koca'nın açıkladığı gibi, bu hafta perşembe ve cuma günü tüm Türkiye aşılanmaya başlayacak. Önce riskli gruplar ve sağlıkçılar olmak üzere aşıya başlanılacak. Bu Çin'den gelen "Sinovac" adlı aşı şuan piyasadaki en güvenilir aşı ve en az yan etkisi olan aşılardan biridir. Aslında aşı olmak bireysel bir karar değil, toplumsal bir sorumluluktur. Herkesin bu bilinçle karşılamasını istiyoruz" diye konuştu.
"80 binlere ulaşan vakaları gördük"
Mart-nisan aylarında ilk vakalar açıklandığında yasaklar geldiğini söyleyen Prof. Dr. Özkaya, "Biz mart, nisan, mayıs aylarında hep yasaklarla gittik. Vaka sayısını da belli bir seviyede tuttuk. Yasaklar kalktığında 3-4 ay önce Sağlık Bakanımızın açıkladığı gibi vaka sayıları birden 80 binlere ulaştı. 80 binlere ulaştıktan sonra yaklaşık 6 hafta önce hükümetimizin açıkladığı tedbirlerle 10'da 1'e kadar düştü. Bunu tedbirlere uyum ile gördük. Bundan sonra ya Çin'den gelen aşı ile toplumda ne kadar çok kişiyi aşılarsak hastalığı o kadar az karşılayacağız. Ya yasaklarla devam edeceğiz ya da önümüzdeki aylarda toplumda mümkün olduğunca kişiyi aşılayarak bu hastalıktan bir an önce kurtularak eski normalimize dönmeyi amaçlayacağız. Bu amaçla vatandaşlarımızın bireysel bir kararla değil toplumsal sorumlulukla davranmalarını istiyoruz. Bunu siyasi, ekonomik platformdan çıkararak toplumsal sorumlulukla eski normale dönmemiz için herkesin mümkün olduğunca aşılanması gerektiğini düşünüyoruz. Ya yasaklarla yaşayacağız ya da aşı olacağız" şeklinde konuştu.
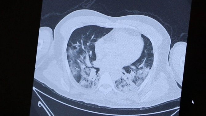
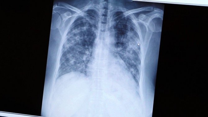
"Ölümden kıl payı kurtulan bir doktorun akciğerleri"
Önce sağlık çalışanlarının aşılanacağını belirten Prof. Dr. Özkaya, "Doğrusunu söylemek gerekirse bu incelediğimiz tomografi, ölümden kıl payı kurtulan bir doktor arkadaşımın tomografisi. Gördüğünüz gibi kendisi canla başla Kovid-19 hastalarını tedavi ederken hastalığa yakalandı. Günlerce hayati tehlike yaşadı. Önce sağlık çalışanlarını aşılayacağız çünkü sağlıkçılar ne kadar güçlü olursa toplumun da o kadar güçlü olacağını düşünüyoruz. Bu görüntüsünü gördüğünüz film de 40'lı yaşlarda bir hastamızın akciğer filmi. Gördüğünüz gibi yaygın bir akciğer tutulumu var. Biz normalde 65 yaş üstünü sokağa çıkmayı yasaklıyoruz ama gördüğünüz gibi 40'lı yaşlarda da çok ciddi akciğer tutulumuyla gelen hastalar oluyor. Bu da bugün kontrole gelen akciğeri pırıl pırıl olan bir hastamız. Herkes bu kadar şanslı olmuyor. Bildiğiniz gibi 65 yaş üstü vatandaşlarımızı bu salgında çok fazla kaybettik. Onlar şu an hala evde hapisler. Toplumda ne kadar çok kişi aşılanırsa bu esaretten kurtulacağımızı düşünüyoruz" ifadelerini kullandı.






Türkçe karakter kullanılmayan ve büyük harflerle yazılmış yorumlar onaylanmamaktadır.