Profesörden korkutan korona açıklaması: "Virüs düşünen bir organizma gibi davranıyor"
Son zamanlarda vakaların yasaklara rağmen artışa geçtiğini ifade eden Göğüs Hastalıkları Uzmanı Prof.
Son zamanlarda vakaların yasaklara rağmen artışa geçtiğini ifade eden Göğüs Hastalıkları Uzmanı Prof. Dr. Şevket Özkaya, "Kovid-19 dediğimiz virüs çok akıllı bir virüs gibi geliyor, düşünen bir organizma gibi davranıyor. Enfekte ettiği her hastada bir sonraki hastayı nasıl daha kötü hale getirebilirim diye kendini geliştiren, değiştiren bir virüs gibi davranıyor" dedi.
VM Medical Park Samsun Hastanesi'nde görevli Göğüs Hastalıkları Uzmanı Prof. Dr. Şevket Özkaya Kovid-19 virüsünün düşünen bir organizma gibi davrandığını, ailede enfekte olan bir kişi varsa, korona virüsün bir sonraki aile bireyini ölüme götürecek kadar zarar verdiğini söyledi.
"Sizin enfeksiyonunuz, ailenizden birinin ölümüne sebep olabilir"
Virüsün insan vücudunu tanımaya başladığını dikkat çeken Prof. Dr. Özkaya, "Bizim saptadığımız bir durum var. Kovid-19 dediğimiz virüs çok akıllı bir virüs gibi geliyor, düşünen bir organizma gibi davranıyor. Enfekte ettiği her hastada bir sonraki hastayı nasıl daha kötü hale getirebilirim diye kendini geliştiren, değiştiren bir virüs gibi davranıyor. Özellikle enfekte ettiği her hastada akciğerlerdeki hasar bir tık daha yukarı çıkıyor. Aile içinde bunu çok görüyoruz. Yani bir kişi enfekte oluyor ve diğer kişiyi enfekte ettiğinde bir önceki enfekte ettiği kişinin akciğerine verdiği hasardan daha fazla hasar oluşturuyor. Sanki virüs insan vücudunu tanımaya ve verebileceği en büyük hasarı vermeye başladı gibi geliyor. Bu virüs 2019'da saptandı, 2020'de salgın ilan ettik ama gerçek hastalık sanki 2021'de bizi daha kötü bekliyor gibi davranıyor. Çünkü virüs her enfekte ettiği kişide bir tık daha kötü akciğer hasarı gösteriyor. Bunu vurgulamamızdaki amaç virüsün bizim bir adım önümüzde gittiğini anlatmak. Sanki biz ona yetişemiyor gibiyiz. Oysa ki toplum ve bilim adamları olarak virüsün bir adım önünde olmalıyız. Halkımızdan beklentimiz, mutlaka aile içindeki temasa dikkat etmeleri. Devletimiz sosyal izolasyon ve aşı politikalarını çok güzel yürütüyor. Herkesin aşı olmasını istiyoruz. Bilim adamlarımızın da virüsün bir tık önünde davranmasını istiyoruz. Özellikle halkımızın bir tık önünde davranması lazım yani virüsün aile içindeki bulaşını mutlaka azaltmalıyız. Çünkü ailede siz enfekte olursanız, sevdiğiniz insanlar sizden daha kötü akciğer hasarıyla geliyor. 2021'de herkesin dikkatli olması lazım ve mutlaka herkesin aşı konusuna duyarlı olması lazım" diye konuştu.
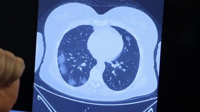
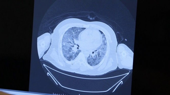
Aile üzerinden örnek
Korona geçirmiş bir ailenin akciğer tomografilerini inceleyen Prof. Dr. Özkaya, "Bir örnek vermek gerekirse, bu genç hastamız 26 yaşında, ailede ilk kez bu çocuk pozitif oluyor. Genç olduğu için hafif atlatıyor. Sonra annesini enfekte ediyor. Annesi çocuktan bir tık daha fazla akciğer tutulumuyla geliyor. Daha sonra da babası enfekte oluyor. Annesini tedavi ettik ama babası inanılmaz solunum yetmezliğiyle bize başvurdu. Yani virüs "akıllı bir organizma" gibi davranıyor. Ailede birini enfekte ettiği zaman diğer enfekte edeceği kişide bir tık daha kötü akciğer hasarı yapıyor. Bu konuda vatandaşlarımızın mutlaka aile içindeki temasa çok dikkat etmesi lazım. Virüs 2019'da bulundu, 2020'de salgın ilan edildi, hastalığın 2021'de daha kötü bir tabloya yol açmaması için herkesin dikkat etmesini ve aşı konusunda da duyarlı olmasını istiyoruz. Çünkü tek kurtuluşumuz şu an aşı gibi duruyor" şeklinde konuştu.






Türkçe karakter kullanılmayan ve büyük harflerle yazılmış yorumlar onaylanmamaktadır.