Safra taşı çocukların da derdi
11 yaşındaki Elif Baytekin, şiddetli ağrı ve sarılığa yol açan safra kesesi taşından kapalı ameliyat yöntemi ile kurtuldu.
11 yaşındaki Elif Baytekin, şiddetli ağrı ve sarılığa yol açan safra kesesi taşından kapalı ameliyat yöntemi ile kurtuldu. Elif'in taş nedeniyle safra yolunun tıkandığını belirten Doç. Dr. Tunç Özdemir, "Safra taşı sadece yetişkinlerin sorunu değil, son 20 yılda değişen beslenme alışkanlıklarının etkisiyle çocuklarda da daha sık görüyoruz" dedi.
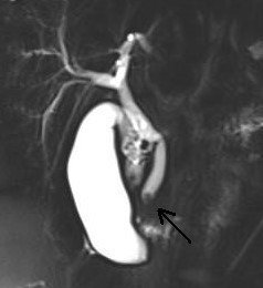
İzmir'in Torbalı ilçesinde yaşayan iki çocuklu Aslıhan Baytekin (36) ile Ersin Baytekin'in (37) büyük kızları Elif, yaklaşık iki yıl önce şiddetli karın ağrısı şikayetiyle hastaneye götürüldü. Safra kesesinde taş saptanan Elif, doktor takibine alındı. Ancak geçtiğimiz günlerde küçük kızda karın ağrısının yanında kaşıntı ve sarılık da başladı. Baytekin çifti, şikayetleri artan ve dayanılmaz hale gelen kızlarını İzmir Kent Hastanesine getirdi. Kent Hastanesinde Çocuk Cerrahı Doç. Dr. Tunç Özdemir, muayene ve tetkiklerden sonra Elif'e "safra yolu tıkanıklığı" tanısını koydu. 11 yaşındaki Elif, başarılı bir ameliyatla sağlığına kavuşurken, Doç. Dr. Özdemir ise "11 yaşındaki hastamızın bilirubin yüksekliği ve şiddetli ağrısı vardı. Yapılan tetkiklerde safra yolunun taş ile tıkanmış olduğunu saptadık. Hastanemiz Gastroenteroloji Uzmanı Prof. Dr. Ethem Tankurt ile birlikte kısaca ERCP (Endoskopik Retrograd Kolanjiyo Pankreatografi) denilen kapalı ameliyat yöntemi ve sfinkterotomi uyguladığımız hastamızın bilirubini düştü ve ağrısı geçti, şifa işe taburcu oldu" dedi.
Safra taşının sadece yetişkinlerde değil, çocuklarda da görüldüğünü açıklayan Doç. Dr. Özdemir, "Üstelik son 20 yılda görülme sıklığı arttı. Beslenme alışkanlıkları, bazı kan hastalıkları, ilaçlar taş oluşumunda önemli etkendir, obezite de önemli bir unsurdur. Safra kesesi taşları uzun süre bulgu vermeden kalabilir. Bazen safra kesesi iltihabına veya safra yoluna düşüp safra yolu tıkanıklıklarına neden olabilir. Safra yoluna düşmüş olan taşlar, şiddetli ağrı, sarılık ve pankreas bezi iltihaplarına yol açıp, hayati tehlike oluşturabilirler. Safra kesesi taşı, kapalı yöntemle sorunsuz bir şekilde ameliyat edilebilirken, safra yolu tıkanıklıkları endoskopi ile safra yolu girişimleri gerektirir. Çocuk ne kadar küçükse, girişim de o kadar zordur" diye konuştu.
"Şiddetli karın ağrısı, sarılık ve kaşıntı başladı"
Kızı Elif'in ilk şikayetinin iki yıl önce başladığını belirten baba Ersin Baytekin, "Elif'in öğretmeni aradı ve şiddetli karın ağrısı olduğunu söyledi. Apar topar okula gidip Elif'i aldım ve hastaneye götürdüm. Safra kesesinde taş olduğu ortaya çıktı. Taşın neden oluştuğunun saptanması için bir hastanede ailecek incelemeye alındık, ama bir sonuç çıkmadı. Kızım doktor takibindeydi. 6-7 aydır da hiçbir şikayeti yoktu. Ancak iki hafta kadar önce kızımda şiddetli karın ağrısı, sarılık ve kaşıntı başladı. Hemen Kent Hastanesine başvurduk. Ameliyat olması gerekiyordu. Kapalı yöntemle çok başarılı bir ameliyat geçirdi ve sağlığına kavuştu. Kızımın bir daha aynı sıkıntıları yaşamamasını diliyorum" dedi.




Türkçe karakter kullanılmayan ve büyük harflerle yazılmış yorumlar onaylanmamaktadır.