Türk Üroloji hekimleri, laparoskopik cerrahide dünyada bir ilki gerçekleştirdi
Başarılı operasyonlar ve uygulanan tedavi yöntemleri ile Bölgenin ve Balkanlar'ın sağlık alanında öncü kuruluşlarından olan Trakya Üniversitesi Hastanesi,...
Başarılı operasyonlar ve uygulanan tedavi yöntemleri ile Bölgenin ve Balkanlar'ın sağlık alanında öncü kuruluşlarından olan Trakya Üniversitesi Hastanesi, dünyada bir ilke imza attı.
Trakya Üniversitesi Sağlık Araştırma ve Uygulama Hastanesi'nde, sağ böbreği normalde olması gerekenden farklı bir yerde bulunan ve aynı böbreğinde tümör tespit edilen hasta, Trakya Üniversitesi Üroloji Bölümü Öğretim Üyesi Prof. Dr. Tevfik Aktoz önderliğindeki ekibin gerçekleştirdiği ameliyat yöntemiyle kısa sürede sağlığına kavuştu.
Trakya Üniversitesi Sağlık Araştırma ve Uygulama Hastanesi Üroloji Ana Bilim Dalı'nda görevli Prof. Dr. Tevfik Aktoz, Doç. Dr. Hakan Akdere ve Arş. Gör. Dr. Mehmet Gürkan Arıkan ile Arş. Gör. Dr. Atınç Tozsin'den oluşan cerrahi ekip, literatürde nadir görülen bir vak'aya uyguladıkları laparoskopik ameliyat sayesinde dünya çapında bir başarı elde etti. Dünyada ikinci kez karşılaşılan ve normalde açık cerrahi yöntemiyle yapılan ameliyatı, ilk kez "Laparoskopik Cerrahi" tekniğiyle başaran ekip, bu yöntemle tıp literatürüne girdi.
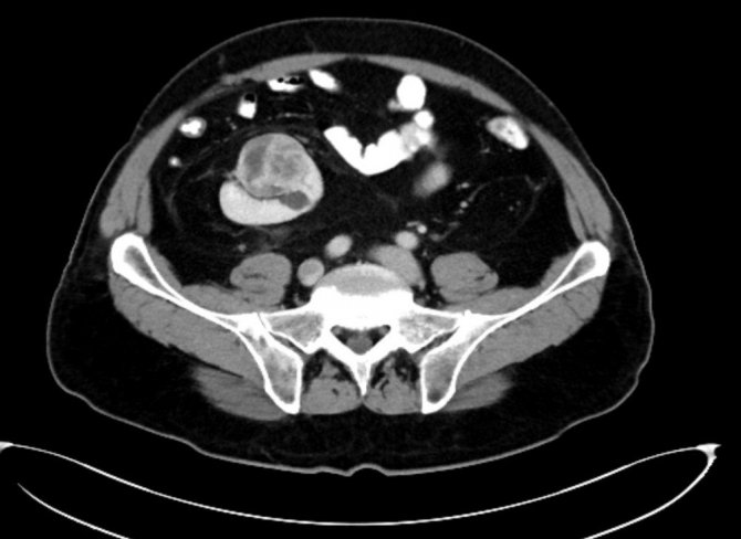
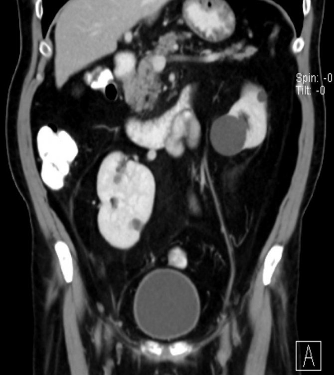
Karın ağrısı ve idrarda kan görülmesi şikâyetiyle, Trakya Üniversitesi Hastanesi Üroloji Polikliniğine başvuran ve yapılan kontroller sonrası sağ böbreğinin çok nadir görülen şekilde karnın alt kısmında, bağırsaklarının arkasında olduğu ve üzerinde bir tümör de olduğu tespit edilen 70 yaşındaki S.K adlı hasta, Trakya Üniversitesi Hastanesi'ne başvurana kadar doğuştan tek böbreği olduğunu bildiğini ve iki böbreği olduğunu öğrendiğinde şaşkınlığını gizleyemediğini belirterek, kendisini tedavi ederek hayata döndüren doktorlara teşekkür etti.
Başarıyla sonuçlanan operasyon, dünyada bir ilk olma özelliği taşıyor. Literatürde, benzer bir vak'a ile 2018 yılında Japonya'da karşılaşıldığı ve oradaki ameliyatın açık tekniklerle yapıldığı bilgisini aktaran Doç. Dr. Hakan Akdere, dünyada ikinci Türkiye'de ise ilk kez böyle bir vak'a ile karşılaşıldığını belirtti. Hastanın sağ böbreğinin, dünyada örneği çok nadir görülen bir yerde olduğunu ve bunun operasyonun önemini artırdığını hatırlatan Doç. Dr. Hakan Akdere, "Lumbal böbrekte tümörü olan bir hastayı, kapalı yöntem ile (laparoskopik) böbreği koruyarak, böbrek damarlarını geçici olarak kapatmadan ve sadece tümoral kitleyi çıkararak başarılı bir operasyonla sağlığına kavuşturup 3. gün hastayı taburcu ettik" dedi. Literatürde, 2018 yılında Japonya'da, lumbal böbrekte kitlesi olan bir hastanın açık teknik ile ameliyat edildiği ve böbreğinin tamamen alındığı bilgisi var. Dünyada daha önce laparoskopik cerrahiyle ilgili yaklaşımların mevcut olduğunu ancak böyle bir vak'ada, bu yöntemle yapılan ameliyatın ilk kez Türkiye'de, Trakya Üniversitesi'nde gerçekleştiğine ve tıp literatürüne geçecek bir yöntemle hastanın sağlığına kavuştuğuna dikkat çeken Doç. Dr. Hakan Akdere, "Böbrek tümörü tedavisinde, kanserli dokunun yayılımına göre böbreğin tamamının veya böbreği koruyarak sadece kitlenin alınması gerektiğini" vurguladı. Bu tür ameliyatları açık, Robotik Cerrahi ya da Laparoskopik cerrahi ile gerçekleştirmek mümkündür. Trakya Üniversitesi Tıp Fakültesi Üroloji A.B.D. olarak, lumbal böbrekte kitlesi olan bir hastayı, dünyada ilk kez "laparoskopik" cerrahi ile sağlığına kavuşturduk. Bu yöntem, bu tür bir vakada ilk kez uygulanan, henüz literatürde yeri olmayan bir başarıdır" ifadelerini kullandı.
Tıp alanındaki gelişmeler sayesinde klasik cerrahi uygulamalarının yerini daha küçük yara izi, daha az ağrı, daha kısa hastanede kalış ile sonuçlanan laparoskopik cerrahiye bıraktığını ve yaklaşık 7 yıldır kendilerine başvuran hastaları bu yöntemle tedavi ettiklerini söyleyen Doç. Dr. Hakan Akdere, modern cerrahi tekniklerin günümüzde özellikle ürolojik hastalarda çok daha kısa sürede olumlu sonuçlar verdiğini belirtti.
Dünyada nadir olarak görülen bir anomaliye sahip hastaya ilk kez uygulanan ameliyatın tüm detaylarının ulusal ve uluslararası bilimsel platformlarda video sunumlarının yapılması için akademik çalışma başlattıklarını da sözlerine ekleyen Doç. Dr. Hakan Akdere, gerçekleştirdikleri işlemin Trakya Üniversitesi'nin marka değerlerinden "Balkan Medical Journal" dergisinde de olgu sunumu yayını olarak yer alacağını belirtti.







Türkçe karakter kullanılmayan ve büyük harflerle yazılmış yorumlar onaylanmamaktadır.