Kitle nedeni ile nefes darlığı ve yutma güçlüğü çeken hasta Fethi Sekin Şehir Hastanesi’nde sağlığına kavuştu
ELAZIĞ (İHA) – Elazığ'da boynundaki kitle yüzünden nefes darlığı ve yutma güçlüğü çeken hasta, Elazığ Fethi Sekin Şehir Hastanesi'nde yapılan...
ELAZIĞ (İHA) – Elazığ'da boynundaki kitle yüzünden nefes darlığı ve yutma güçlüğü çeken hasta, Elazığ Fethi Sekin Şehir Hastanesi'nde yapılan başarılı operasyonla sağlığına kavuştu.
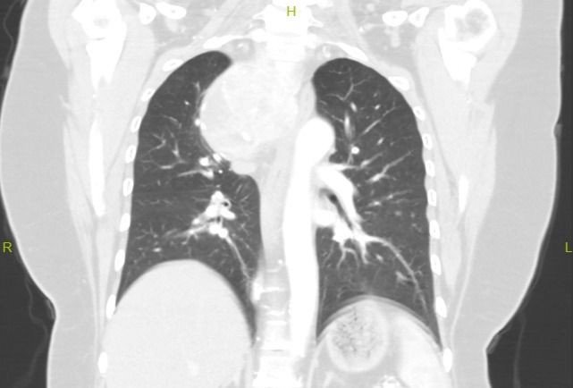
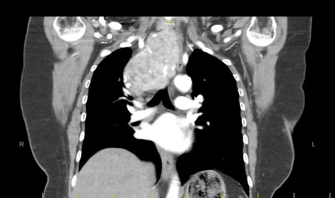
Boyunda kitlesi nedeniyle nefes darlığı ve yutma güçlüğü şikayetleriyle hastanelere başvuran hasta, riskli ameliyat nedeni ile Fethi Sekin Şehir Hastanesi Genel Cerrahi Polikliniği'ne yönlendirildi. Yıllar önce guatr hastalığına bağlı tiroid ameliyatı geçirdiği öğrenilen hastanın yapılan tetkiklerinde, guatr hastalığının nüks ettiği ve 8 x 12 santimetrelik nüks guatr kitlesinin boyundan göğüs kafesine doğru uzandığı görüldü. Nüks guatr kitlesinin solunum yollarına, ana damarlarına ve yemek borusuna baskı yaptığı saptandı.
Hasta, Genel Cerrahi kliniğinden Op. Dr. Rumeysa Kevser Liman Demirbağ ve Op. Dr. Banu Yiğit, Göğüs Cerrahisi kliniğinden Dr. Öğretim Üyesi Murat Kılıç ve Kalp Damar Cerrahisi kliniğinden Doç. Dr. Fevzi Sarper Türker ve Op. Dr. Sefa Şenol tarafından ameliyata alındı. Başarılı geçen operasyon sonrasında hastanın nefes darlığı ve yutma güçlüğü şikayetleri geriledi ve sağlığına kavuştu.
Hastanın ameliyatının 5'inci gününde taburcu edildiğin bildirildi.





Türkçe karakter kullanılmayan ve büyük harflerle yazılmış yorumlar onaylanmamaktadır.